
Una propuesta metodológica, orientada a la detección temprana de células anómalas de cáncer de mama que emplea técnicas avanzadas computacionales y adapta un sistema de análisis de imágenes histopatológicas, ha sido progresivamente desarrollada por doctorando en ciencias de la información de la Facultad de Informática de la Universidad Autónoma de Sinaloa (UAS); este sistema es capaz de identificar y clasificar tipos específicos de células en muestras de tejido, lo que permite observar signos tempranos de mitosis y posibles indicios de cáncer.
El maestro en ciencias Eduardo Díaz Gaxiola regresó de su estancia en la Universidad de Málaga, España, en el cual validó la metodología en un entorno de alta especialización, utilizando un conjunto de datos con más de 1,500 imágenes; en este banco de datos, se analizaron miles de elementos, cada uno representando posibles anomalías celulares que podrían relacionarse con una proliferación acelerada, característica de células cancerosas.
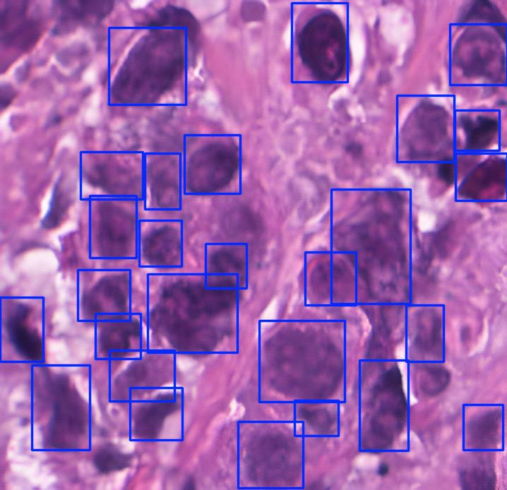
La técnica se basó en la detección de tres categorías clave: sTIL, nonTIL_stromal y Tumor, cada una con relevancia clínica, confirmó Díaz Gaxiola; este enfoque permitió ajustar su metodología para diferenciar y clasificar las células anómalas con precisión superior a las metodologías previas, obteniendo resultados prometedores en comparación con el estándar actual en la clasificación de imágenes de cáncer de mama.
Explicó que esta metodología facilitaría la tarea de los expertos médicos al proporcionar una herramienta inicial de detección automatizada, capaz de procesar grandes volúmenes de datos en tiempos reducidos; “de este modo, el diagnóstico temprano podría optimizarse, ofreciendo resultados preliminares que después serían validados por especialistas en oncología”, agregó.

El doctorando destacó que, además de su potencial aplicabilidad en el sector salud de Sinaloa, la metodología podría ajustarse a otros entornos de diagnóstico si se adaptan las categorías de células o si se reentrena el modelo con datos específicos de cada sistema de salud, esta flexibilidad, dijo, representa un avance significativo para sistemas de detección temprana en entornos donde el acceso a diagnóstico especializado puede ser limitado.
Eduardo Díaz Gaxiola adelantó que los resultados de este proyecto podrían dar lugar a al menos dos artículos en revistas científicas de alto impacto, lo que reflejaría el éxito de la metodología en mejorar la precisión y rapidez en la detección de células anómalas, abriendo la puerta a nuevas aplicaciones de la inteligencia artificial en el campo de la salud.



